영맨남성의원에서는
섬세한 수술기법으로 음낭수종의 원인을 제거하여
더 이상 재발이 되지 않도록 도와드립니다.
음낭수종은 고환을 둘러싸고 있는 초막에 액체가 고여 음낭이 커다랗게 부어오르는 질환을 말합니다.
음낭수종은 유아와 성인에서 다른 원인으로 발생하게 됩니다.
소아에서는 고환을 둘러싼 막이 복강과 연결되어 있어서 복강 내 복수가 내려와서 발생하나
성인의 경우 액체의 분비와 흡수 사이의 불균형으로 인해 생깁니다.
음낭수종의 원인
제거로 재발률 DOWN
국소마취
수술 가능
수술 후
바로 귀가 가능
음낭수종은 보통은 심한 통증은 동반하지 않지만, 불편감이 생길 수 있으며, 음낭의 신축성으로 인해
환이 아이의 머리 크기까지 커질 수 있습니다. 음낭수종이 생기게 되면 따뜻한 액체에 고환이 노출되어
고환의 기능과 성장에 악영향을 끼치며 심한 경우 고환의 위축과 불임을 유발할 수 있습니다.
고환 초막내
음낭수종
교통성
음낭수종
정삭
손전등으로 커진 고환을
비추는 검사로 성인의 경우
음낭 벽이 두꺼워 진단이
어려운 경우가 많습니다.
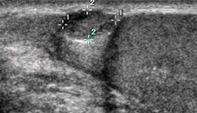
초음파 검사를 통해 음낭수종을
확진할 수 있으며 고환염,
부고환염, 탈장 등 다른 이상 유무를
확인할 수 있습니다.
기본 소변검사를 통해 감염 및
다른 질환 가능성을 확인합니다.
혈액검사를 통해 고환 암, 부고환염 등
다른 질환 가능성을 확인합니다
수술은 국소마취 후 음낭을 통해서 액체가 고인 고환 초막을 절제하는 비교적 간단한 수술입니다.
성인 음낭수종 절제술은 적절히 시행될 경우 부작용이 거의 없으며
드물게 혈종, 감염, 수술 후 재발 등 합병증이 생길 수도 있습니다.
약 30~40분
바로 가능
10일 후
약 3주 후